卵黄嚢は生命の神秘を秘めた重要な構造です。私たちがこの小さな袋の成り立ちを理解することで、発生学や生物学の基礎を深めることができます。卵黄嚢はどのようにして形成されるのか、そしてその役割は何なのか、その答えを探る旅に出ましょう。
卵黄嚢の基本情報
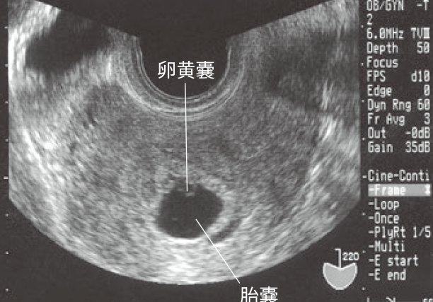
卵黄嚢は胚発生において重要な役割を果たす構造です。発生中、卵黄嚢は栄養供給の役割を担い、発育を助けるための細胞を蓄えています。この部分は、細胞分裂の初期段階において、胚を形成する上で欠かせません。また、卵黄嚢は酸素や栄養素の供給を行うため、胚の成長を支援します。
卵黄嚢には主に以下の機能があります:
- 栄養供給: 胚が成長するための栄養を提供します。
- 細胞分裂サポート: 初期の細胞分裂を助け、新しい細胞を生成します。
- 酸素供給: 胚に必要な酸素を供給します。
卵黄嚢の形成過程
卵黄嚢の形成過程は、生命発生の基礎を理解する上で重要なステップです。以下に、卵黄嚢の形成に必要な具体的な過程を示します。
受精と細胞分裂
- 卵子と精子の接触
卵管で精子が卵子に到達し、受精が開始されます。
- 受精卵の形成
精子が卵子に侵入し、受精卵が生成されます。
- 初期分裂の開始
受精卵が最初の分裂を行い、二個体(細胞)が形成されます。
- 細胞分裂の継続
二個体から四個体、八個体と分裂を続けます。これにより、細胞の数が増加します。
- 胚盤胞の形成
分裂を繰り返す中で、胚盤胞として知られる構造が形成されます。
卵黄嚢の発達段階
- 受精後の数日間
受精から数日間で、細胞は成長し続け、卵黄嚢の初期構造が作られます。
- 卵黄嚢の形成
胚盤胞内で、細胞が集まって卵黄嚢を形成します。この段階では、栄養物質が蓄積されます。
- 発達のさらなる進行
卵黄嚢が成長し、胚に栄養を供給しながら、重要な役割を果たします。
- 血管の発達
胚が成長する中で、卵黄嚢に血管が形成され、より効率的に栄養が供給されます。
- 成熟期の到来
卵黄嚢の機能
卵黄嚢は、胚発生において重要な役割を担っています。この構造は、栄養供給や発育のサポートに貢献します。以下に、卵黄嚢の主要な機能を詳しく説明します。
栄養供給の役割
卵黄嚢は、胚にとって重要な栄養源です。以下のプロセスでその機能を果たします。
- 栄養物質の蓄積:卵黄嚢に栄養が蓄積され、必要に応じて胚に供給されます。
- エネルギー供給:卵黄内の脂質やたんぱく質が、胚の成長に必要なエネルギーを提供します。
- 代謝の支援:卵黄嚢は、代謝を促進し、胚の発育を助ける物質を生成します。
発生における重要性
卵黄嚢は、発育過程でさまざまな役割を果たします。以下のポイントが際立っています。
- 細胞分裂のサポート:卵黄嚢は、細胞分裂に必要な栄養素を供給し、より効率的な発生をサポートします。
- 酸素供給:卵黄嚢の血管網が酸素を供給し、胚の成長を促進します。
- 免疫機能の提供:卵黄嚢は、胚が外部からの感染に対する防御を強化するための免疫物質を提供します。
卵黄嚢に影響を与える要因
卵黄嚢は胚発生において重要な役割を果たし、その形成過程にはさまざまな要因が関与します。ここでは、特に環境要因と遺伝的要因について詳しく説明します。
環境要因
環境要因は卵黄嚢の発達に大きな影響を与えます。以下の要因に注意が必要です。
- 温度:胚発生に最適な温度は約37℃です。温度が適切でないと、発育が阻害される可能性があります。
- 栄養素:発育にはアミノ酸や脂肪酸など、必要な栄養素が不可欠です。栄養不足は卵黄嚢の成長を妨げます。
- 酸素供給:卵黄嚢は酸素を必要とします。十分な酸素が供給されない場合、発育が遅れることがあります。
- 水質:水のpHや汚染物質も影響します。健康な水環境を維持することが重要です。
- 光の強さ:適度な光は細胞分裂を促進します。過剰な光や不足が卵黄嚢に悪影響を及ぼします。
遺伝的要因
遺伝的要因も卵黄嚢の形成に重要な役割を果たします。主なポイントを以下に示します。
- 遺伝子の発現:特定の遺伝子が卵黄嚢の成長を差別化し、機能に影響を与えます。
- 遺伝子変異:偶発的な変異が形成過程に影響し、正常な発育を妨げることがあります。
- 親からの遺伝:両親の遺伝子が卵黄嚢の特性に影響し、発育の質に直結します。
- 発生過程の調整因子:遺伝的要因はホルモンや成長因子との相互作用を通じて発育を調整します。
- 選択圧:生存に有利な特性が蓄積され、生物の進化に寄与します。
結論
卵黄嚢は発生過程において欠かせない役割を果たしておりその重要性は計り知れません。我々は卵黄嚢の構造や機能を理解することで生命の神秘に近づくことができます。また環境要因や遺伝的要因が卵黄嚢に与える影響を考慮することも重要です。これからの研究によってさらなる発見が期待されており卵黄嚢の理解が深まることで生命科学の進展にも寄与するでしょう。私たちの知識が広がることで新たな視点や発見が生まれることを楽しみにしています。
