親知らずの痛みや不快感に悩まされている方は多いでしょう。私たちは、親知らず どうやってわかるかについて理解を深めるために、この問題を掘り下げてみたいと思います。特に症状やチェック方法について知識を持つことは、自分自身の健康管理にとても重要です。
この記事では、親知らずが原因で起こるさまざまな症状やそれらを見極めるための具体的なチェック方法をご紹介します。これによって、私たちがどのようにして早期発見し適切な対処を行えるかが明らかになるでしょう。あなたも自分の口内環境について気になったことはありませんか?その疑問にお応えする内容が詰まっていますのでぜひ最後までお付き合いください。
親知らず どうやってわかる症状とは
親知らずが生えてくると、さまざまな症状が現れることがあります。これらの症状を理解することで、私たちは早期に対処し、適切な治療を受けることが可能になります。具体的には、歯茎や周辺組織の痛み、腫れなどが一般的です。また、食事中に感じる不快感や口臭の発生も見逃せないサインです。
痛みの種類とその原因
親知らずによる痛みは主に以下のような種類があります。
- 鈍い痛み: 歯茎全体に広がるような鈍痛。
- 鋭い痛み: 特定の部分で感じる鋭い痛み。
- 放散性の痛み: 他の部位(耳や顎)にも影響を及ぼす場合。
このような痛みは、親知らずが正しく生えてこない「埋伏智歯」の場合によく見られます。さらに、この状態になると感染症を引き起こしやすくなるため注意が必要です。
腫れや炎症
腫れは親知らず周辺の組織でよく見られる症状です。この腫れは以下の場合に関連しています:
- 感染: 食べかすや細菌によって引き起こされることがあります。
- 炎症反応: 免疫システムからの反応として現れる腫れ。
特に歯茎が赤く腫れている場合は、その部位に問題がある可能性がありますので注意しましょう。
その他の関連症状
私たちが注目すべき他の関連する症状には次のものがあります:
- 口臭: 不快な臭いを伴うことがあります。
- 口を開けづらい: 顎関節への圧迫感から来ている場合があります。
- 頭痛: 歯科的問題から派生した頭痛もありえます。
これら全ての兆候は、「親知らず どうやってわかる」かという問いへの重要な手掛かりとなります。それぞれについて把握しておくことで、自分自身だけでなく家族や友人にも適切なアドバイスを行えるでしょう。
痛みや腫れのサインを見逃さない
親知らずに関する痛みや腫れは、私たちが注意を払うべき重要なサインです。特に、これらの症状が現れるときは、何らかの問題が進行している可能性がありますので、早期発見と適切な対処が求められます。具体的には、歯茎の腫れや周囲組織の炎症などが見られることがあります。これらの兆候を逃さないためには、自分自身でしっかりチェックすることが大切です。
痛みを感じるタイミング
痛みは突然襲ってくることもあれば、徐々に悪化していく場合もあります。以下のようなタイミングで痛みを感じる場合は要注意です:
- 食事中: 硬いものを噛んだときに特に強く感じることがあります。
- 口を開けたとき: 大きく口を開けようとすると鋭い痛みが走ることがあります。
- 寝ている間: 無意識に歯ぎしりなどで圧力がかかり、不快感を覚える場合もあります。
これらの場合には、自分だけではなく家族や友人にも相談しながら対処法を考える必要があります。
腫れの程度について
腫れは一般的に感染や炎症によって引き起こされます。そのため、腫れている部分の状態によって次のような対応策が考えられます:
- 軽度の腫れ: 軽い不快感程度の場合は、市販薬で様子を見ることも可能ですが、改善しない場合は医療機関へ相談しましょう。
- 中度から重度の腫れ: 赤味や熱感伴う場合には早急な診察が必要であり、その場で専門的な治療を受けた方が良いでしょう。
また、この際、自宅でできる応急処置として冷湿布なども効果的です。しかし、この方法でも完全に解決できない症状には必ず専門家による診断・治療を受けましょう。
私たち自身の日常生活への影響だけではなく、健康全般にも直結しますので、「親知らず どうやってわかる」かという視点からもしっかり確認しておくことが重要です。
チェック方法と自己診断のポイント
私たちが親知らずの状態を把握するためには、自己診断が非常に重要です。症状や痛みの現れ方を観察することで、問題の早期発見につながります。ここでは、親知らずに関するについて詳しく説明します。
自宅でできるチェックリスト
以下は、自宅で簡単に行える親知らずのチェックポイントです:
- 歯茎の状態: 歯茎が赤く腫れているかどうかを確認しましょう。
- 痛みの部位: 痛みがどこにあるか、その強さや持続時間も記録しておきます。
- 口内の異常感: 物が引っかかる感じや不快感がある場合は注意です。
- 発熱: 体温を測り、平熱より高い場合は感染症の可能性があります。
これらの点を確認しながら、自分自身で状態を把握していきましょう。
自己診断時に意識すべきこと
自己診断には限界がありますので、注意深く行う必要があります。特に次の場合には専門家への相談をおすすめします:
- 長期間続く痛み: 一週間以上続く場合は早めに受診しましょう。
- 腫れが悪化する場合: 腫れが広がっていると感じたらすぐに医療機関へ連絡します。
- 口腔内出血: 出血や膿(う)が見られる際には放置せず対処してください。
簡単なセルフチェック法
自宅でできる簡易的なセルフチェック法として、「指で触れる」方法もあります。優しく歯茎周辺を触り、以下のような反応を観察します:
- 痛み
- 異常な硬さ
- 温度変化(冷たい水など)
こうした反応から、自分自身でも状況判断する助けになります。ただし、この方法だけでは完全とは言えませんので、大切なのは定期的な歯科検診です。私たちの日常生活や健康維持には欠かせない要素と言えるでしょう。「親知らず どうやってわかる」を実践しながら、適切なケアと情報収集を心掛けましょう。
医療機関での診察内容と手順
私たちが親知らずの症状を理解した後、次に重要なのは医療機関での診察です。専門的な評価を受けることで、正確な診断と適切な治療方針が決定されます。以下では、一般的な診察内容とその手順について詳しく説明します。
診察前の準備
医療機関に行く前には、以下の点を確認しておくことが大切です:
- 症状の記録: 痛みや腫れなど具体的な症状をメモしておきましょう。
- 既往歴: 過去にあった口腔内の問題や持病についても伝えられるようにしましょう。
- 服用中の薬: 現在服用している薬があれば、そのリストを持参します。
これらを整理することで、スムーズに診察が進むでしょう。
実際の診察内容
医療機関で行われる親知らずに関する診察では、以下のような手順があります:
- 問診: 医師から症状や痛みについて詳細に質問されます。この時、自分自身で記録した情報が役立ちます。
- 視覚検査: 口腔内を直接観察し、歯茎や親知らず周辺の状態を確認します。
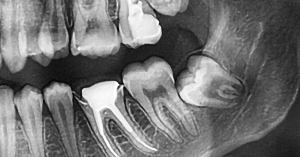
- X線撮影: 必要に応じてレントゲン写真を撮り、骨格や歯根の位置関係をチェックします。
- 必要な処置・治療法提案: 診断結果によっては抜歯など具体的な治療プランが提示されます。
この流れによって、私たちはどんな治療が適切か判断できる基礎となります。
受信後のフォローアップ
診察後は医師から指示された注意事項や次回受診の日程について必ず確認しましょう。また、大切なのは自宅での日常ケアです。もし新たな症状や不安が出てきた場合には早めに再度相談することが推奨されます。特に親知らず周辺のトラブルは放置すると悪化する可能性がありますので注意してください。このようにして、「親知らず どうやってわかる」ためには定期的なチェックと適切な対応が欠かせません。
親知らずに関連するその他の問題
親知らずに関しては、痛みや腫れ以外にもいくつかの関連する問題が存在します。これらの問題を理解することで、より適切な対処が可能になります。以下では、親知らずに関連する一般的なトラブルや、その影響について詳しく説明します。
虫歯と感染症のリスク
親知らずは位置的に非常に奥まったところに生えているため、歯磨きが難しいことがあります。その結果、虫歯や感染症のリスクが高まります。特に周囲の歯茎が炎症を起こすと、「智歯周囲炎」という状態になり、激しい痛みを伴うこともあります。このような場合には早急な治療が必要です。
隣接する歯への影響
親知らずが正常に生えない場合や斜めに生える場合、隣接する健康な歯にも悪影響を及ぼすことがあります。例えば:
- 圧迫によるズレ: 親知らずが他の歯を押し出し、その結果として噛み合わせが悪くなることがあります。
- 根の吸収: 親知らずによって隣接する歯の根っこが傷つけられることもあるため注意が必要です。
このような状況になると、更なる治療や抜歯なども考慮せざるを得なくなります。
顎関節への負担
また、親知らずから来る不正咬合は顎関節にも影響を与える可能性があります。不自然な力で顎が動くことで「顎関節症」を引き起こし、口を開けたり閉じたりするときに痛みや違和感を感じる原因となります。このため、自分自身で気づかないうちに慢性的な痛みに繋がることもあります。
以上のように、親知らずにはさまざまな関連問題がありますので、「親知らず どうやってわかる」ためには定期的なチェックと専門医による診察・治療が重要です。
